首页 » 解决方案 » 影像学手术规划

方案展示

胰腺肿瘤手术规划

请点击图标,查看全序列影像!

序列 临床意义 图像
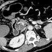
Pancreatic Axial

显示胰腺横断面影像

Pancreatic Coronal

显示胰腺冠状面影像

Abd Aorta MIP

显示腹部主动脉及其主要分支血管的起源、走形及其它的形态

Abd Aorta VR

从外形上显示腹部主动脉及其主要分支血管的起源、走形及其它的形态

Pancreatic Mass VR

显示染色后的胰腺肿瘤与胰腺的相应位置关系。

Pancreatic Mass & Abd VR

显示胰腺肿瘤、胰腺与腹部主动脉及其主要分支血管的相应关系

Pancreatic Mass & Abd Bone VR

染色后胰腺肿瘤、胰腺与腹主动脉及其主要分支血管的VR和腹部全影像相叠加的影像;显示胰腺肿瘤与腹部的脏器及骨骼的相应关系

Abd Aorta & Major Branches MIP

腹部分支血管的走向的斜位MIP
Common Hepatic Artery
Superion Mesenteric Artery
Lt Renal Artery
Rt Renal Artery

Measurements

在横断位.冠状位.矢状位上分别测量Pancreatic Ca的最大径线及Pancreatic Ca的体积测量
Axial Dmax= 40.7 mm
Coronal Dmax= 37.2 mm
Sagittal Dmax= 35.8 mm
体积:23.694 cm³

体验基于云平台的医学图像后处理技术在临床上的应用
即刻登录
美中泰利,临床影像数据分析技术的领跑者

美中泰利由美国哈佛医学院附属Beth Israel Deaconess Medical Center (BIDMC) 放射医学基金会、哈佛医学院教授和中国知名的影像技术专家共同发起成立。在一个全球性的影像传输、存储和分享平台上,美中泰利用先进的医学图像3D后处理和数据分析技术,为医生和患者提供临床影像服务。

联系我们

  • 北京:海淀区知春路56号天利大厦二层
  • 上海:杨浦区国泰路127号复旦科技园1号楼108室
  • 武汉:武昌区中南路99号保利广场A座11楼
  • 010-82111353
  • info@tailimed.com