首页 » 服务项目 » 医学图像三维重建

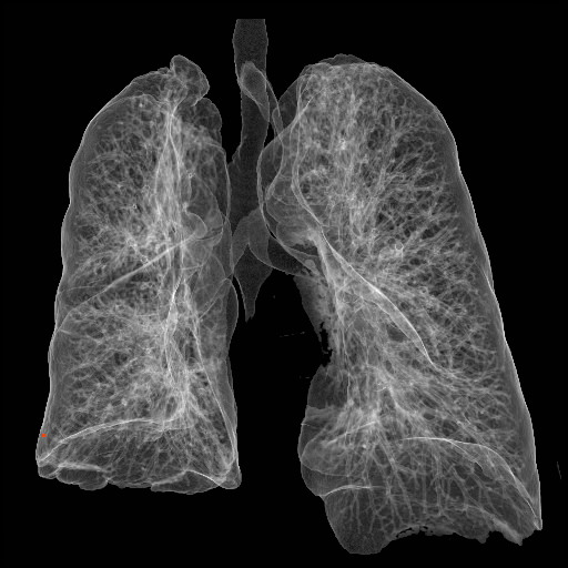
医学图像(主要是CT、磁共振图像)的三维重建已经成为临床实践中一项不可缺少的技术服务。随着临床影像需求的不断多样化、复杂化,医疗机构在如何为医生提供高质量、成本合理的三维重建解决方案上,面临着巨大的挑战。美中泰利是一家国际性的医学图像后处理第三方服务机构。公司多年来培养了一支经过专门培训、熟练掌握三维重建技术的临床和影像医师队伍;拥有先进的医学影像图形工作站和经过临床验证的人体各部位、各病种三维重建方案。美中泰利与客户医院的临床团队紧密合作,用先进的医学图像后处理技术为临床诊疗提供影像学支持。公司目前为中美两国上百家医院提供每天24小时、全年不间歇的医学图像三维重建服务。

对客户的益处

  • 低成本、可扩展的一站式三维重建解决方案
  • 24/7全年服务、响应时间短
  • 专业的重建团队、高质量的三维重建
  • 客户的医技人员可以专注于CT/磁共振扫描
  • 帮助客户开展新的临床诊疗项目
体验基于云平台的医学图像后处理技术在临床上的应用
即刻登录
美中泰利,临床影像数据分析技术的领跑者

美中泰利由美国哈佛医学院附属Beth Israel Deaconess Medical Center (BIDMC) 放射医学基金会、哈佛医学院教授和中国知名的影像技术专家共同发起成立。在一个全球性的影像传输、存储和分享平台上,美中泰利用先进的医学图像3D后处理和数据分析技术,为医生和患者提供临床影像服务。

联系我们

  • 北京:海淀区知春路56号天利大厦二层
  • 上海:杨浦区国泰路127号复旦科技园1号楼108室
  • 武汉:武昌区中南路99号保利广场A座11楼
  • 010-82111353
  • info@tailimed.com